Цены на культевые вкладки
Зубные вкладки — довольно дорогой метод протезирования.
| Вид культевой вкладки | Цена в рублях |
| Металлическая однокорневая вкладка | 2000 |
| Двухкорневая металлическая вкладка | 3000 |
| Вкладка из прессованной керамики | 12000 |
| Культевая вкладка из диоксида циркония | 15000 |
Более приемлемой по цене является кобальто-хромовая культевая вкладка стоимость, которой ниже, чем из драгоценных металлов и керамики.
Срок службы
При правильном гигиеническом уходе за культевой вкладкой срок службы составляет 10 лет и более.
Культевая вкладка из золота имеет срок службы более 15-20 лет.
Отзывы после установки культевой вкладки
· Неделю назад стоматолог поставил культевые вкладки на 6 и 7 зубы. Каналы 6-го зуба лечила более четырех лет назад. До протезирования зубы не болели. После установки культевых вкладок мучаюсь зубной болью. По ночам болезненность усиливается, болит вся челюсть.
· Мне установили культевую вкладку на передний зуб, которую я постоянно чувствую, и она мне мешает.
· Я поставила культевые вкладки на два жевательных зуба из серебряно — палладиевого сплава. Чувствую себя нормально. И еще у меня оказалась проблема с другим жевательным зубом. До этого там стоял штифт, который вставили не в корневой канал, а мимо. Туда мне положили лекарство. Так что устанавливать еще одну вкладку буду позже.
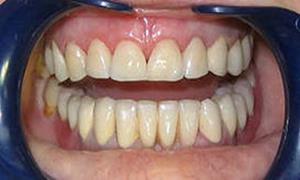
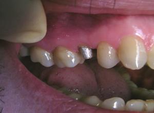
Фото до и после установки культевых вкладок
|
|
|
|
|
|
Литература:
1. Копейкин В.Н., Долбнев И.Б., Зубопротезная техника М.: Медицина, 2000-237с.
2. Копейкин В.Н Руководство по ортопедической стоматологии М.: Медицина, 2003 – 341с.
3. Рало В.Н., Пучко Н.А. Протезирование частичной потери зубов М.: Медицина 1986 – 178с.
4. Трезубов В.Н. .,Щербаков А.С. Ортопедическая стоматология, Санкт – Петербург 2002 – 340с.
