Штифтово культевая вкладка распределяет нагрузку на зуб равномерно, в этом ее главное отличие от штифта.
| «ҚАЗАҚ МЕДИЦИНАЛЫҚ ҮЗДІКСІЗ БІЛІМ БЕРУ УНИВЕРСИТЕТІ» АКЦИОНЕРЛІК ҚОҒАМЫ |
| АКЦИОНЕРНОЕ ОБЩЕСТВО «КАЗАХСКИЙ МЕДИЦИНСКИЙ УНИВЕРСИТЕТ НЕПРЕРЫВНОГО ОБРАЗОВАНИЯ» |
| КАФЕДРА Взрослой и детской стоматологии (ортопедия) | ||
Реферат
Тема: Культевые вкладки
Выполнила: Жархан М.М.
Группа: 09
Факультет: стоматология
Проверил:Саменов Ж.К.
Алматы, 2018г.
Культевая вкладка
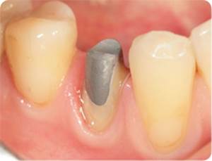
Фото: Культевая металлическая вкладка зуба
Культевая вкладка — это специально изготовленная со слепка зубная конструкция, на которую в дальнейшем фиксируется искусственная коронка. Используется для восстановления сильно разрушенных зубов.
Культевая штифтовая вкладка состоит из коронковой и корневой частей. Корневая ее часть фиксируется в канале зубного корня, коронковая часть похожа на культю зуба и уже подготовлена под коронку.
Культевая вставка, в отличие от штифта, устанавливается за несколько приемов, но ее применение гарантирует, что зуб точно не сломается и более не будет разрушаться.
Штифтово культевая вкладка распределяет нагрузку на зуб равномерно, в этом ее главное отличие от штифта.
Крепление вкладки на специальный цементный состав обеспечивает герметичное прилегание конструкции к остаткам от зуба и препятствует образованию трещин.
Виды
По способу изготовления культевые зубные вкладки бывают литые и разборные.
Вкладка культевая литая
Фото: Литая вкладка
Изготавливается при высокой температуре и под давлением. Она состоит из основной части, которая восстанавливает зуб, и фиксирующих штырей, с помощью которых происходит закрепление вкладки в зубных каналах.
Разборная культевая вкладка
Изготавливается в том случае, если корень зуба имеет три или четыре канала. Некоторые штифты делаются съемными, т. к. не могут свободно войти в корневой канал. Такая вкладка почти ничем не отличается от литой. Разборная вкладка идеально подходит к форме зуба. После ее установки удаление культевой вкладки нереально. В связи с этим, на разборные культевые вкладки устанавливается пожизненная гарантия.
В зависти от того, из какого материала изготавливается культевая вкладка под коронку, различают следующие виды конструкций:
Фото: Вкладки из металла и керамики
· Вкладка культевая металлическая.
Может изготавливаться из хромо — кобальтового сплава, из драгоценных металлов и их сплавов. Такие вкладки надежнее конструкций, изготовленных из композитных материалов, но являются неэстетичными. Поэтому, их чаще располагают на жевательных зубах и они не попадают в линию улыбки. Вкладки из золота — оптимальный вариант для реставрации жевательных зубов.
· Цельнокерамическая вкладка.
Конструкции изготавливаются из прессованной керамики и диоксида циркония. Культевые вкладки из диоксида циркония по прочности не уступают металлическим вкладкам, а вкладки, изготовленные из прессованной керамики — по эстетике идентичны фарфоровым. Процесс изготовления цельнокерамических конструкций полностью автоматизирован, что полностью исключает образование вторичного кариеса. Для реставрации фронтальных зубов, используется вкладка культевая на передние зубы.
· Культевая металлокерамическая вкладка.
Качество таких вкладок хуже, т. к. они часто выпадают. Объясняется это разницей термического расширения металла и керамики.
· Вкладка из композитных материалов.
Сейчас такие вкладки применяются очень редко, т. к. по качеству ничем не отличаются от обычной пломбы, хотя их стоимость выше.
