Этапы изготовления культевой вкладки
Фото: Подготовка зубов под вкладку
· Подготовление зуба к снятию слепка. Препарирование под культевую вкладку производится с помощью бормашины. Для этого удаляют все пораженные кариесом ткани зуба и формируют полость под вкладку. Ей придают определенную форму.
· Снятие слепка с зубов. В лаборатории, по слепку, зубной техник отливает гипсовую модель зубов.
· Сканирование участка модели с отпрепарированным зубом.
· Компьютерное моделирование культевой вкладки.
· Передача компьютером трехмерной модели на фрезеровальный станок, где происходит «выпиливание» вкладки из керамики.
· Обжиг заготовки в специальных печах.
· Фиксация культевой вкладки на зуб.
Показания к установке
Культевая вкладка возможна только в том случае, если уцелел корень зуба.
Показания к применению культевых вкладок:
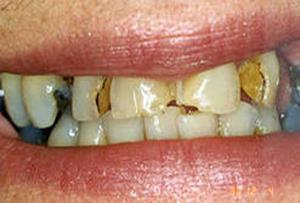
Фото: Разрушение зубных коронок
· Разрушение коронковой части зуба.
· Дефекты формы и положения зубов.
· Дефекты наддесневого участка зуба, имеющие различное происхождение.
· Отсутствие возможности восстановления зубных коронок при помощи пломбировочных материалов или другими способами.
· В качестве опоры для установки мостовидного протеза.
· При болезнях пародонта, в качестве шинирующей конструкции.
Противопоказания
Культевая вкладка имеет некоторые противопоказания к использованию:
· Заболевание десны в месте установления культевой вкладки.
· Повреждение корня зуба.
· Наличие патологической подвижности зубов.
· Некачественно пролеченные корневые каналы.
· Аллергическая реакция на сплавы, из которых изготавливается конструкция.
Как происходит установка
Фото: Изготовление вкладок в лаборатории
· Подготовка зуба к установке культевой вкладки. Для этого проводится эндодонтическая терапия. Корень зуба тщательно пломбируется до самой его верхушки, что подтверждается с помощью рентгеновского снимка.
· Распломбировка корней на одну треть или наполовину длины корня. Каналу придается конусность и ширина.
· Снятие слепков с обеих челюстей для того, чтобы будущая вкладка была изготовлена с учетом соотношения зубов — антагонистов.
· В лаборатории изготавливается гипсовая модель зубов и моделируется восковая культевая вкладка.
· Культевая вкладка отливается и передается в кабинет стоматолога.
· Фиксация готовой культевой конструкции с помощью цемента. Непосредственно перед установкой вкладка тщательно обезжиривается. Зуб обрабатывается спиртом и тщательно высушивается. С помощью каналонаполнителя корневые каналы заполняются цементом. Цементным раствором покрывается вкладка со штифтом и устанавливается на место. Затем, если конструкция разборная, то покрываются цементом дополнительные штифты и располагаются в нужных корневых каналах. В конце вся вкладка тщательно придавливается.
Восстановление и реабилитация
· Так как перед протезированием зубной культевой вкладкой производится препарирование зубов, то после установки конструкции могут развиться такие осложнения, как вторичный кариес или развиться пульпит.
· В некоторых случаях, отмечается болезненность.
· Чтобы предотвратить подобные осложнения необходимо строго следовать рекомендациям стоматолога.
