6. Стеноз илеоцекального клапана (баугиниевой заслонки).
7. Недостаточность илеоцекального клапана (баугиниевой заслонки).
ОСЛОЖНЕНИЯ ОСТРОГО АППЕНДИЦИТА
1. ДООПЕРАЦИОННЫЕ ОСЛОЖНЕНИЯ
Дооперационные осложнения связаны с несвоевременным обращением больных за медицинской помощью, в том числе с самолечением, отказом от госпитализации или поздней диагностикой на всех этапах госпитализации. Встречаются в 20-25% случаев.
1.1. Аппендикулярный инфильтрат
Инфильтрат осложняет течение острого аппендицита в 2-4 % случаев и развивается спустя 3-5 дней от начала заболевания. Возникновение инфильтрата - это защитная реакция организма, иммобилизующей воспалительный процесс в брюшной полости. Вследствие воспаления червеобразного отростка, располагающиеся рядом органы (купол слепой кишки, петли тонкой кишки, пряди большого сальника и париетальная брюшина) спаиваются с ним и между собой в конгломерат, отграничивающий отросток от свободной брюшной полости. Чаще всего развивается при флегмонозно измененном червеобразном отростке, однако иногда в центре воспалительного конгломерата находится отросток, подвергшийся полной деструкции.
В диагностике аппендикулярного инфильтрата исключительно важную роль играет анамнез. Начало заболевания чаще всего может быть типичным - внезапно появляется абдоминальный дискомфорт: ощущение вздутия живота, неопределенная боль в эпигастрии или в околопупочной области. С течением времени (1-3 ч) интенсивность боли нарастает, становится постоянной и мигрирует в правый нижний квадрант живота (симптом Кохера-Волковича). У половины больных боль может появляется сразу в правой подвздошной области. Температура тела повышается до 37,4-37,7°С. Нередко в первые часы от начала заболевания у больных бывает рвота, 1-2-кратный жидкий стул, что расценивается ими как «расстройство» кишечника (энтероколит) и служит «основанием» для отказа за обращением к медицинской помощи.
К 3-5 суткам от начала заболевания интенсивность боли в животе снижается, в покое она почти полностью исчезает или меняет характер, становясь тупой, нечетко локализованной, несколько усиливаясь лишь при ходьбе. Температура тела нормализуется или снижается до субфебрильной. На фоне убывающей клинической симптоматики в брюшной полости начинает прощупываться различных размеров воспалительный инфильтрат, в среднем 10-18 см в диаметре. Сначала пальпируемое образование имеет нечеткие контуры, болезненно. Затем боль исчезает, а контуры «опухоли» приобретают четкую форму, сам инфильтрат становится плотным. Если инфильтрат предлежит к париетальной брюшине (правая подвздошная область, малый таз), то он практически не смещается при пальпации. Над инфильтратом тонус мышц брюшной стенки незначительно повышен; в стороне от него - живот мягкий, безболезненный. Симптомы раздражения брюшины отсутствуют.
У многих больных, поводом для посещения врача служит обнаруженное при самообследовании болезненное, опухолевидное образование в правой подвздошной области. При поступлении в стационар общее состояние больных характеризуется удовлетворительным. Пульс не учащен, в пределах 80-90 ударов в минуту. Язык влажный, не обложен. Лейкоцитоз, как правило, умеренный до 9-11×109 с незначительным нейтрофильным сдвигом (палочкоядерных 7-10%).
У больных пожилого и старческого возраста чаще, чем у лиц среднего возраста, возникает аппендикулярный инфильтрат, характеризующийся медленным вялотекущим течением. Отсутствие указаний на острый приступ боли в животе, первое обращение к врачу в фазу плотного инфильтрата в правой подвздошной области заставляют врача проводить дифференциальный диагноз между аппендикулярным инфильтратом и раком слепой кишки.
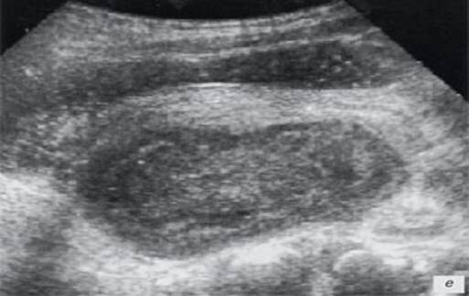
В диагностике аппендикулярного инфильтрата используют УЗИ, при выполнении которого в проекции аппендикулярного инфильтрата обнаруживаются неподвижные, ригидные, неправильной формы образования с недостаточно четкими границами, неоднородной эхоструктурой со скоплениями гипоэхогенной жидкости Толщина стенок вовлеченных в процесс петель кишечника превышает 3 мм. Перистальтика кишечника в зоне инфильтрата отсутствует. Червеобразный отросток визуализируется нечетко из-за деструктивных изменений в стенке самого отростка и инфильтрации в окружающих тканей. В дальнейшем УЗИ используется для определения динамики воспалительных изменений с течением времени и под влиянием проводимого лечения (рассасывание или абсцедирование), что позволяет уточнить лечебную тактику (Рис. 3).

Рисунок 3. Аппендикулярный инфильтрат при тазовом расположении отростка. УЗИ[3].
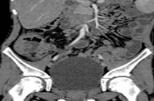
При недостаточности клинико-лабораторных и ультразвуковых данных возможно использование компьютерной рентгенографии (спиральная компьютерная томография с контрастированием и т.д.) (Рис. 4).

Рисунок 4. Аппендикулярный инфильтрат. Компьютерная томография с контрастированием[4].
Дифференциальный диагноз. Аппендикулярный инфильтрат в первую очередь необходимо дифференцировать от опухоли слепой кишки, особенно у лиц пожилого возраста. Для новообразования характерен длительный анамнез с постепенным развитием болевого синдрома без существенного повышения температуры тела. Кроме того, опухоль слепой кишки часто сопровождается анемией, может вызывать явления кишечной непроходимости, чего почти никогда не наблюдают при аппендикулярном инфильтрате. Динамическое наблюдение за аппендикулярным инфильтратом позволяет отметить уменьшение в размерах опухолевидного образования, при новообразовании этого не бывает. Все вопросы связанные с подозрением на рак слепой кишки снимают ирригоскопия или колоноскопия.
Лечение аппендикулярного инфильтрата. Исходом аппендикулярного инфильтрата может быть либо его полное рассасывание, либо абсцедирование. Это обусловливает консервативно-выжидательную хирургическую тактику.
Консервативная терапия заключается:
1. в ограничение физической активности пациента;
2. для предотвращения чрезмерной перистальтики кишечника назначается не шлакообразующая диета (уменьшить прием пищи в которой содержится большое количество клетчатки – шпинат, овощи, фрукты);
3. антибиотикотерапия с учетом значительной анаэробной составляющей в микробном пейзаже содержимого просвета червеобразного отростка (препараты выбора: цефалоспорины II-III генерации + метронидазол);
4. физиотерапевтические процедуры (местное тепло и УВЧ) возможно применять лишь после нормализации температуры и исключения, что данное опухолевидное образование не является опухолью (исходящей из слепой кишки или органов малого таза), особенно у больных пожилого возраста.
Пациент должен находиться в стационаре до полного исчезновения инфильтрата и в сомнительных (относительно опухолевой природы определявшегося образования) случаях может быть выписан только после ирригоскопии или колоноскопии, УЗИ органов малого таза, у женщин - консультации гинеколога (на предмет опухолей исходящих из матки и правого яичника).
В типичных случаях воспалительная «опухоль» рассасывается за 1,5-2,5 недели. По мере рассасывания инфильтрата исчезают боль в животе и болезненность при пальпации. Температура тела и картина крови становятся нормальными.
Больным, подвергавшимся успешному консервативному лечению по поводу аппендикулярного инфильтрата, следует выполнить аппендэктомию в «холодном» периоде, через 3-4 месяца после рассасывания инфильтрата, т.к. перенесенное воспаление вызывает стойкую деформацию червеобразного отростка и частичную облитерацию его просвета с нарушением дренажной функции, вероятность повторного аппендицита очень высока (60-80%).
В случаях, когда не удалось дифференцировать острый аппендицит от аппендикулярного инфильтрата и больной оперирован, то не предпринимаются попытки его разъединения, так высока вероятность повреждения стенок кишок его формирующих. К аппендикулярному инфильтрату подводится дренажная трубка для контроля его возможного абсцедирования и введения в брюшную полость антибиотиков. Рана ушивается и больной ведется по вышеописанным принципам консервативного лечения аппендикулярного инфильтрата. Реоперация лишь в случаях абсцедирования инфильтрата.
1.2. Аппендикулярный абсцесс
Аппендикулярный абсцесс, это неблагоприятный исход аппендикулярного инфильтрата и встречается в 14-19% случаев. Если в процессе наблюдения за аппендикулярным инфильтратом (обычно 4-5 сутки) в стационаре у больного усиливаются или вновь появляются боли в правой подвздошной области, развивается синдром системной воспалительной реакции (ССВР):
- повышение или снижение температуры тела (выше 38°С или ниже 36°С в случаях анергии);
- тахикардия (более 90 в 1 мин);
- тахипноэ (увеличение частоты дыхания свыше 20 в 1 мин, или РаС02 менее 32 мм рт. ст.;
- лейкоцитоз (свыше 12×109) или снижение количества лейкоцитов (ниже 4×109) или нейтрофильный сдвиг (палочкоядерных свыше 10%), то следует предположить абсцедирование аппендикулярного инфильтрата. При этом его размеры могут увеличиваться, возрастает пальпаторная болезненность над ним, в центре инфильтрата иногда определяется размягчение. Как правило, в это время над инфильтратом становится положительным симптом Щеткина-Блюмберга (напряжение передней брюшной стенки, острая боль при пальпации и значительное усиление болей при резком отнятии руки).
Диагностика. Развитие аппендикулярного абсцесса можно подтвердить с помощью УЗИ. Сформированный абсцесс будет виден как полостное образование округлой формы с однородным гипо- или анэхогенным содержимым и плотной пиогенной капсулой от 5 до 8 мм толщиной. Иногда в полости абсцесса определяются фрагменты червеобразного отростка (Рис.5).

Рисунок 5. Аппендикулярный абсцесс при УЗИ[5].
Нередко УЗИ используют не только как диагностический метод, но и в лечении аппендикулярных абсцессов, когда под ультразвуковым контролем выполняют пункции и дренирование абсцессов. В неясных случаях используют КТ, МРТ и лапароскопию.
Лечение. Аппендикулярный абсцесс - показание к хирургическому вмешательству. Вскрытие нагноившегося инфильтрата выполняют под общей анестезией. Проводят лапаротомию разрезом по Волковичу-Дьяконову, вскрывают полость гнойника, эвакуируют гной, промывают полость раствором антисептика, максимально удаляют из нее фибринозно-некротические наложения и дренируют гнойную полость через операционную рану или дополнительный поясничный разрез. Такое дренирование лучше проводить двухпросветной трубкой вместе с «сигарным» дренажем Пенроуза (латексная или сделанная из печаточной резины трубка заполненная марлей), для длительного сохранения ее дренажной функции и обеспечения возможности орошения гнойной полости антисептическими растворами (диоксидин, хлоргексидин, гипохлорид натрия, фурацилин) и введения полиионной водорастворимой мази на основе полиэтиленгликоля – «Левомеколь» или «Левосин». При латеральной локализации нагноившегося аппендикулярного инфильтрата целесообразно опорожнить гнойник внебрюшинным доступом Пирогова (косой разрез от гребня подвздошной кости до паховой связки). При вскрытии нагноившегося аппендикулярного инфильтрата в большинстве случаев выполнить аппендэктомию технически невозможно, вследствие выраженных пиогенных изменений стенок органов локализующих гнойную полость.
В послеоперационном периоде больным назначают дезинтоксикационную терапию и антибиотики широкого спектра действия. Во избежание рецидива острого аппендицита больным настоятельно рекомендуют плановую аппендэктомию через 3-4 месяца после выписки из стационара.
1.3. Перфорация червеобразного отростка, перитонит
Распространенный гнойный перитонит осложняет течение острого аппендицита у 1% больных, однако при перфоративном аппендиците его наблюдают у 8-10% пациентов. Перитонит является основной причиной смерти больных при остром аппендиците
Классификация аппендикулярного перитонита.
По распространенности процесса:
1. Местный, ограниченный (т.е. аппендикулярный абсцесс) и местный, неограниченный (занимающий 1 анатомическую область)
2. Распространенный:
а) диффузный (выходит за пределы зоны воспаления и захватывает 2-5 анатомических областей);
б) разлитой (захватывает свыше 5 анатомических областей).
