Строение ядра эукариотической клетки
Цель: изучить микроскопическое и ультрамикроскопическое строение ядер эукариотических клеток.
Задание:
1. Рассмотрите микропрепараты клеток (Таблица 10). Зарисуйте микропрепараты и подпишите ядро.
Таблица 10
Разнообразие ядер клеток эукариот
| № | Препарат | Краситель |
| 1. | Гладкая мышечная ткань мочевого пузыря | Гематоксилин – эозин |
| 2. | Поперечно-полосатая мышечная ткань аксолотля | Железный гематоксилин |
| 3. | Клетки эпителия канальцев почки. | Гематоксилин – эозин |
| 4. | Кровь | Окраска по Романовскому-Гимза (эозин красный, азур II - синий) |
| 5. | Нейроны | Серебрение |
2. Изучите микроскопическое строение ядра. Рассмотрите, зарисуйте и подпишите: а) Схему ядра (Рис.60).

| Рис. 60. Схема ядра: 1- ЭР; 2- перинуклеарное пространство; 3 – ядрышко; 4 – микротрубочки; 5 – ламина; 6 – ядерная оболочка (внешняя и внутренняя мембраны); 7 – ядерная пора; 8 – промежуточные филаменты. | |
б) Микрофотографию расширения перинуклеарной полости клетки щитовидной железы (Рис. 61).
Перинуклеарная полость
| Рис. 61. Расширение перинуклеарной полости клетки щитовидной железы. |
в) Микрофотографию и схему порового комплекса (рис.62, 63).

Рис. 62. Микрофотография порового комплекса.

Рис. 63. Схема порового комплекса.
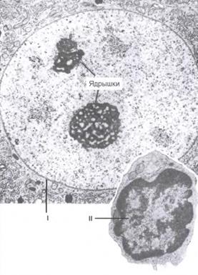
г) Микрофотографию ядрышка и молекулы преРНК с транскрипционными комплексами (Рис. 64, 65).
Рис.64. Микрофотография ядрышка.
|
Рис. 65. Молекулы пре РНК с транскрипционными комплексами: 1 — интенсивная транскрипция;
2 — слабая транскрипция.
|
Практическая работа № 15
Строение хроматина и хромосом
Цель: изучить микроскопическое и ультрамикроскопическое строение хроматина и хромосом.
Задание:
1. Изучите классификацию, строение и упаковку хроматина.
а) Рассмотрите и запишите схему классификации хроматина.
|
| ХРОМАТИН |
| |||||
|
| |||||||
| Эухроматин (ЭХ) | Гетерохроматин (ГХ) Конденсированное состояние; Эффект положения генов; Поздняя репликация; Недорепликация; Эктопическое спаривание. | ||||||
|
| |||||||
|
|
| ||||||
| Конститутивный Повторяющаяся ДНК, сателлитная ДНК, псевдогены | Инактивированный | ||||||
|
| |||||||
| Прицентромерный; Теломерный; Интресициальный (околядрышковый); Хроматин половых хромосом | Факультативный Х-хромосомы самок млекопитающих | Интеркалярный – Инактивированные районы в политенных хромосомах (гены раннего развития) | |||||
б) Рассмотрите и зарисуйте микрофотографию хроматина (Рис.66). Рисунок подпишите.
| 1 2 3 |
| Рис. 66. Хроматин в клетке эукариот: 1- Хроматин компактный; 2- Хроматин диффузный; 3- Ядрышко. |
в) Зарисуйте уровни упаковки ДНК (Рис.67).
| 1 2 3 4 5 6 |
| Рис. 67. Уровни упаковки ДНК: 1- Короткий участок двойной спирали ДНК; 2- Хроматин в форме бусин на нити; 3- Хроматиновая фибрилла состоящая из нуклеосом; 4- Часть хромосомы в растянутом виде; 5- Конденсированный участок метафазной хромосомы; 6- Целая метафазная хромосома. |
2. Изучите микроскопическое и ультрамикроскопическое строение хромосом.
а) Зарисуйте схему хромосомы и кинетохора высших эукариот (Рис.68).
|
| Рис. 68. Схема строения кинетохора высших эукариот |
3.
б) Рассмотрите схему строения политенной хромосомы (Рис.69). Зарисуйте и подпишите.

Рис.69. Схема строения политенной хромосомы (А) и ее участков (Б):
а — нить интерфазной хромосомы с участками конденсированного хроматина; б — две нити после редупликации; в — восемь сближенных нитей в результате трехкратной редупликации хромосом; 1 — диски; 2 — междисковые участки; 3 — пуф, образовавшийся за счет деконденсации хроматина диска
Практическая работа № 16
Клеточный (МИТОТИЧЕСКИЙ) цикл
Цель: Изучить структурные компоненты интерфазного и митотического ядер. Изучить структуру клеток в различные фазы митоза: профаза, метафаза, анафаза и телофаза.
Задание:
1. Рассмотрите микропрепарат «Митоз растительной клетки» (срез корешка лука). Окраска гематоксилин-эозином.
У высших растений нет центриолей, а веретено деления при данной окраске не выявляется, поэтому в изучаемых клетках видны только хромосомы. На большом увеличении необходимо найти клетку в состоянии интерфазы, в ядре которой можно видеть оболочку, ядрышко и гранулы хроматина.
В профазе видны хромосомы, образующие клубок, плотный или рыхлый (в поздней профазе).
В метафазе хромосомы расположены в плоскости экватора клетки. так как препарат рассматривается сбоку, то видна не материнская звезда, а экваториальную пластинку с выступающими концами хромосом
В анафазе происходит отщепление хроматид (половинок хромосом) друг от друга и расхождение их к полюсам, в результате чего в клетке видны две группы хромосом, имеющих вид звезды.
Телофаза продолжается до полной реконструкции ядра, однако удобнее наблюдать раннюю телофазу, когда каждая дочерняя звезда начинает сливаться в более компактную фигуру, но еще сохраняет форму звезды, а в цитоплазме можно видеть формирующуюся перегородку.
В растительных клетках формируется не перетяжка цитоплазмы, а именно перегородка между дочерними клетками. Форма клеток остается всегда прямоугольной.
Зарисуйте и подпишите: интерфазу, профазу, метафазу, анафазу и телофазу.

Рис. 70. Митоз. Клетки корешка лука. I - неделящаяся клетка; II - IV - последовательные этапы профазы; V, VI-метафаза; VII - анафаза; VIII – телофаза; 1 - ядро с ядрышком, 2 -хроматин, 3-хромосомы, 4-веретено деления.
2. Рассмотрите микропрепарат «Ахроматиновое веретено в животной клетке». Делящаяся оплодотворенная яйцеклетка аскариды. Окраска железным гематоксилином. На большом увеличении необходимо найти клетку на разных этапах митотического цикла.
3. Зарисуйте динамику тубулинового скелета в клеточном цикле животных (Рис.71, 72).

Рис. 71. Динамика тубулинового скелета в клеточном цикле (животные).

Рис. 72. Динамика тубулинов в веретене деления.
4. Запишите в тетрадь таблицу 11 «Митоз».
Таблица 11
Митоз
| количество хроматид и хромосом | события | морфологическая картина | |
| ИНТЕРФАЗА (подготовка клетки к делению) | |||
| G1-период | 46 хроматид | Рост клетки, подготовка к S-периоду | Клетка имеет присущую ей форму, имеет ядро, в ядре выявляется хроматин в виде точек, зерен, глыбок; как правило, имеется ядрышко |
| S-период | 92 хроматиды (46х2) | Синтез (редупликация) ДНК | |
| G2-период | 92 хроматиды (46х2) | Подготовка к митозу | |
| М И Т О З | |||
| профаза | 46 хромосом; 92 хроматиды
| Конденсация ДНК с образованием хромосом, исчезновение ядерной оболочки и ядра как такового | Клетка начинает терять нормальную форму, на месте ядра имеется клубок толстых нитей - хромосом, расположенных неупорядоченно |
| метафаза | Выстраивание хромосом по экватору клетки в процессе формирования веретена деления | Клетка окончательно теряет нормальную форму и становится округлой, ядра нет, хромосомы в виде толстых нитей образуют структуру материнской звезды (вид сверху) или метафазной пластинки (вид сбоку) | |
| анафаза | по 46 хроматид в каждой дочерней клетке | Разделение хромосом на отдельные хроматиды и расхождение хроматид к полюсам клетки | Клетка округлой или вытянутой формы, ядра нет, хромосомы в виде толстых нитей расположены у противоположных полюсов клетки |
| телофаза | Разделение цитоплазмы и образование двух дочерних клеток, формирование ядер | Две более мелкие по размерам дочерние клетки, соединенные цитоплазматическим мостиком; ядра с толстыми нитями внутри или с большими глыбами хроматина | |
Практическая работа № 17

Рис.64. Микрофотография ядрышка.
Рис. 65. Молекулы пре РНК с транскрипционными комплексами: 1 — интенсивная транскрипция;
2 — слабая транскрипция.


