Особенности диагностики опухолей у детей
Диагностика опухолей у детей представляет собой одну из трудных задач современной ортопедии, рентгенологии и патологической анатомии. Это связано не только с разнообразием заболеваний, но и характерным начальным течением ряда заболеваний без проявления ясных симптомов. Нередко распознают их поздно, при явно выраженном проявлении болезни. Болезненный очаг, как правило, залегает в глубине костной коробки, при этом ребенок в отличие от взрослого не всегда в состоянии оценить свои ощущения и сформулировать свои жалобы. Ранняя диагностика опухолей затруднена необычайным сходством отдельных новообразований. Как клиницист не может безоговорочно опираться только на свои клинические данные, так и рентгенолог не может быть уверенным в наличии определенного заболевания на основании описания только рентгенограммы. Опасным является путь установления диагноза опухоли кости только на основании данных патологоанатома без учета клиники и рентгенологии.
Таким образом, диагностика заболеваний скелета – трудное и ответственное дело, Здесь необходимо комплексное использование существующих методов распознавания костных опухолей.
На ранних стадиях многие костные заболевания не имеют специфической симптоматики. В связи с этим необходимо пользоваться отдельными, даже незначительными данными, которые в сумме определяют «трудно рождающийся диагноз». К ним относятся анамнез, первые жалобы, длительность болезни и сопоставление соответствия размеров опухоли с давностью заболевания, результаты внешнего осмотра, общего состояния больного, его возраст, пол, локализация новообразования.
Трудности диагностики костных поражений опухолевым ростом состоят в том, что первые жалобы возникают у детей лишь тогда, когда болезненный очаг либо достигает больших размеров и сдавливает рядом находящиеся нервные стволы, либо, выходя за границы кости до надкостницы, вовлекают ее в процесс и проявляются болями.
Выяснение характера боли – существенная часть трудного диагноза. Чаще всего боли являются первыми симптомами злокачественных опухолей, так как в процесс вовлекается надкостница. Вначале боли носят непостоянный характер. Позже больной ребенок уточняет их локализацию. Сначала боли периодические, затем становятся постоянными, наблюдаются в покое, даже при иммобилизации больной конечности гипсовой шиной боли не стихают ни днем, ни ночью. Иногда боли не соответствуют локализации опухоли. В этих случаях необходимо думать об иррадиации болей по нервным стволам. Так, при локализации очага в проксимальной части бедра, боли могут локализоваться в коленном суставе, иррадиируя по бедренному нерву. Весьма характерны ночные боли, в значительной степени изнуряющие больного.
При отдельных злокачественных новообразованиях боли появляются раньше, чем очаг выявляется на обычной рентгенограмме. В этих случаях необходимо прибегать к современным методам обследования больного: компьютерной и ядерномагнитнорезонансной томографии, которые позволяю выявить очаг размером около 2мм.
Доброкачественные опухоли почти всегда безболезненны. Боли в этих случаях чаще вторичные, за счет механического давления большой опухолью рядом расположенных нервных стволов. Только остеоид-остома (рис. 125) проявляет себя сильным болевым синдромом, обусловленным увеличенным внутрикостным давлением в «гнезде опухоли». Кроме того, эти боли хорошо снимаются аспирином, а при злокачественных новообразованиях болевой синдром снимается на непродолжительное время только наркотическими веществами.
Некоторые опухоли костей, расположенные эндостально (рис. 126), впервые проявляют себя патологическим переломом (остеобластокластома, хондрома). Существует мнение, что такие переломы, срастаясь, могут привести к «самоизлечению», что вызывает определенные сомнения.
Уточняя анамнез заболевания, выясните, прежде всего, первые симптомы заболевания. Дети и родители нередко обращают внимание на предшествующую травму, хотя установлено, что травма не имеет никакого отношения к появлению опухолевого роста. При обычном травматическом повреждении боль, припухлость, нарушение функции появляются сразу же после травмы, а при опухолях эти клинические симптомы появляются спустя некоторое время, иногда даже через несколько месяцев. Поинтересуйтесь, применялось ли больному физиотерапевтическое лечение, особенно тепловые процедуры, и его эффективность. Больные с опухолями отмечают, что применение тепла усиливает боли и увеличивает пораженный сегмент. ФТЛ при опухолях противопоказано, так как стимулирует опухолевый рост.
Общее состояние больного при опухолях костей не страдает. При доброкачественных опухолях оно вообще не меняется, исключая остеоид-остеому. Злокачественные опухоли, особенно у маленьких детей, могут начинаться как острый воспалительный процесс и, например, начало саркомы Юинга нередко «протекает» под диагнозом «Остеомиелит» (рис. 124).
Хороший внешний вид ребенка не исключает наличия у него злокачественного новообразования, так как кахексия развивается только в терминальной стадии процесса. Дети просто не доживают до ракового истощения, а умирают значительно раньше.
Внешний вид органа, пораженного костной опухолью, припухлостью, которая пальпаторно отличается плотной консистенцией. При злокачественных опухолях боль предшествует припухлости и появление припухлости при злокачественных опухолях – поздний симптом. Только при остеобластокластомах со значительным истончением кортикального слоя в месте опухоли при пальпации можно ощутить костный хруст (крепитацию), появляющийся из-за повреждения тонкого кортикального слоя при пальпации.
Метастатические опухоли никогда не пальпируются, а остеолитические формы чаще всего проявляются патологическим переломом.
В области определяющейся деформации, над доброкачественной опухолью кожные покровы не изменяются. При злокачественных – кожа бледная, истонченная, с просвечивающимися венозными сосудами («мраморная кожа»), тяжело смещается над опухолью и не берется в складку. При распадающихся опухолях возможно их изязвление (рис. 124).
Нарушение функции конечности зависит от локализации очага по отношению к суставу: остеогенная саркома, локализующаяся в эпиметафизе бедра, вызывает болевую контрактуру, а гигантома (ОБК) даже при прорыве опухоли в сустав не нарушает функцию конечности (сустава), т.к. безболезненна. Ограничение движений нередко связаны с патологическим переломом, который может стать первым признаком опухоли, а при злокачественных новообразованиях свидетельствует об инкура
бельности опухоли и дает резкий толчок к метастазированию.
Возраст больного имеет существенное значение для решения вопроса о характере опухоли. Для детского возраста характерны первичные опухоли, метастатические крайне редки, а у взрослых наоборот - метастатические встречаются в 20 раз чаще. Так, на каждого больного с первичной опухолью приходится 2-3 метастатических. Возраст ребенка имеет существенное значение в возникновении некоторых видов опухолей. Так, эозинофильная гранулема чаще выявляется у детей дошкольного возраста, фиброзная дисплазия характерна для детей 10-12 лет, а для детей 5 лет – саркома Юинга, для детей старше 8 лет и подростков – остеогенная саркома.
Локализация опухоли очень характерна. Некоторые опухоли имеют свою излюбленную локализацию, что может быть одним из диагностических симптомов. Так, хондромы локализуются в мелких костях кисти (рис. 127), гигантома (ОБК) у детей – в проксимальном метадиафизе плеча (рис. 128), а у взрослых – в проксимальном метаэпифизе большеберцовой кости. Остеогенная саркома локализуется в дистальном метафизе бедра (рис. 129), не нарушая зону роста и распространяется в диафиз. Саркома Юинга чаще поражает диафиз голени и предплечье.
Лабораторные данные. Общий анализ крови выполняется всем больным. При доброкачественных опухолях в нем изменений не выявляется. Практически, только у больных с саркомой Юинга в общем анализе крови определяются изменения по типу воспалительного синдрома: высокая СОЭ, нейтрофильный лейкоцитоз со сдвигом формулы влево.
Биохимические исследования. Биохимические исследования в настоящее время играют огромную роль в определении характера и стадии патологического процесса в кости. Значительное увеличение белка сыворотки крови выявляется при миеломной болезни. Наряду с этим в моче появляются тельца Бенс-Джойса, которые в норме отсутствуют.
При не распадающихся злокачественных опухолях происходит снижение общего белка сыворотки крови за счет снижения альбуминов при некотором увеличении уровня глобулинов. При явлениях дегидратации и некроза опухолей может наблюдаться снижение общего белка крови со значительным снижением содержания глобулинов.
У взрослых больных определение количества сиаловых кислот в сыворотке крови при опухолях костей дает еще один тест для установления диагноза. Установлено, что при доброкачественных, медленно растущих опухолях уровень сиаловых кислот не изменяется и соответствует норме (155 ед.). При остеобластокластоме (ОБК) сиаловые кислоты достигают 231 ед., а при злокачественных опухолях – 248 ед. После удаления злокачественной опухоли уровень сиаловых кислот нормализуется к концу 2-й недели послеоперационного периода. Медленное снижение уровня сиаловых кислот после операции может свидетельствовать о нерадикально проведенном оперативном вмешательстве или о наличии метастазов.
Уровень сиаловых кислот при злокачественных опухолях у детей резко повышен. Об этом свидетельствует показатель дифениламиновой реакции (ДФА). При остеогенной саркоме он равен 221 ед., при хондросаркоме – 224 ед., а при доброкачественных опухолях – 170-180 ед., то есть, соответствует норме.
Немаловажную роль в дифференциальной диагностике опухолей и остеомиелита имеет определение протеолитических ферментов, уровень которых повышается при злокачественных опухолях и при появлении метастазов.
Повышение уровня кальция крови до 12-20 мг% наблюдается при интенсивном разрушении кости при метастатических опухолях.
Некоторую помощь в диагностике опухолей костей может оказать определение активности щелочной фосфатазы сыворотки крови. Этот фермент, необходимый для расщепления органических фосфатных соединений с образованием фосфорной кислоты, которая откладывается в костях в виде фосфата кальция. Уровень фосфатазы увеличивается при недостатке кальция и фосфора в организме (рахит, гиперпаратиреоз). Уровень фосфатазы повышается при образовании костной мозоли после переломов и после патологических переломов, патологическом костеобразовании, которым является остеогенная саркома. При этом, повышение уровня щелочной фосфатазы не абсолютный симптом, однако, в комплексе с другими изменениями может помочь в установлении диагноза.
Активность щелочной фосфатазы повышается при остеоид-остеоме, если гиперостоз, окружающий опухоль, был значительным, а при ОБК – если она привела к патологическому перелому. Т.е., определение активности щелочной фосфатазы является одним из вспомогательных тестов в комплексе диагностики опухолей костной ткани.
Рентгенологическая диагностика костных заболеваний вообще, и опухолей, в частности, представляет большие трудности, особенно у детей, из-за обилия сходных по рентгенологической картине заболеваний скелета, наблюдающихся в период роста. Рентгенологическому исследованию принадлежит ведущая, хотя и в ряде случаев и не окончательная роль в диагностике костных поражений.
При изучении полученной рентгенограммы следует обратить внимание на следующие признаки:
· установить распространенность очага в пределах одной кости и отношение его к зоне роста;
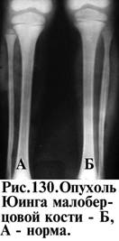
· локализацию (рис. 130) очага (центральное или периферическое расположение);
· направление роста образования;
· четкость границ;
· структура опухолевой ткани (рис. 131) и окружающий фон кости (склероз, пороз).
Для решения этих вопросов необходима хорошего качества структурная рентгенограмма.
Основной вопрос, на который должен ответить ортопед: добро или злокачественная опухоль в данном конкретном случае.
На этот вопрос можно ответить довольно просто: если в процесс вовлечена надкостница, то это опухоль злокачественная; если же периостальных напластований нет – доброкачественная. Для злокачественных новообразований кости характерны три вида периостальных реакций (рис. 132):
· козырьковый периостит;
· спикулезный (игольчатый);
· луковичный.
Границы очага поражения. Доброкачественные опухоли характеризуются четкими границами, а злокачественные – размытыми контурами как внутри кости, так и в соседстве с мягкими тканями. Дают прерывистые периостальные напластования и плотные включения за пределами кости. Характер границ довольно типичен для отдельных доброкачественных образований. Так, у остеомы нет четких границ с кортикальным слоем кости (рис. 133). Сливаясь с ним, она располагается экзостально. ОБК в случаях пассивно кистозной формы окружена со всех сторон зоной остеосклероза в виде полоски, а при активно-кистозной форме и литической – не имеет четких границ (рис. 134). Вместе перехода здоровой кости в опухоль видны новые мелкие ячейки.
Структура очага поражения при доброкачественных опухолях однородна, несмотря на возможные включения.
При первично-злокачественных опухолях уже в начале заболевания отмечается нечеткость границ, и неоднородность структуры из-за деструкции кости. Так, при остеогенной саркоме выражен пятнистый остеопороз с островками склероза (рис. 129). Такая неоднородность фона опухоли – один из ранних рентгенологических признаков этого новообразования.
Более полную информацию по структуре очага, даже при небольших размерах новообразования (до 2мм.), дают современные методы дополнительного обследования больного: томография (рис. 135), компьютерная томография, ядерно-магнитный резонанс, радиоизотопная диагностика.
Морфологические исследования. Если клинические и рентгенологические данные недостаточно определены, то решающим при решении вопроса о характере опухоли является патологоанатомическое исследование, биопсия. Последняя может быть пункционной и открытой, предварительной и срочной (во время операции). Не всегда этот метод исследования в полной мере помогает установить истину, тем более что пункционная биопсия способствует быстрому метастазированию, т.к. нарушается околоопухолевый барьер. Наиболее целесообразно проводить открытую срочную биопсию в присутствии морфолога. При этом обращают внимание на внешний вид опухоли («рыбье мясо» при саркоме; «вишневая косточка» при остеоид-остеоме и т. д.).
Таким образом, установить диагноз новообразования костей, особенно в детском возрасте, весьма трудная задача. Для этого необходимо полноценное комплексное обследование больного.
Лечения опухолей. Ведущая роль в лечении больных с опухолями костей принадлежит хирургическому вмешательству. Резекция опухоли в пределах здоровых тканей при доброкачественных опухолях – основной способ оперативного лечения. Если при этом значительно страдает функция сустава (при удалении одной из суставных поверхностей) или ослабление прочности диафиза кости после удаления опухоли – применяют костнопластические операции. При злокачественных новообразованиях костей также применяют оперативный метод, но при этом делают более радикальные операции – ампутации и экзартикуляции, хотя это вмешательство может продлить жизнь больного всего лишь на несколько месяцев. Лучевая терапия применяется ограничено, так как на основную массу злокачественных опухолей такое лечение эффекта не оказывает. Только при опухоли Юинга в результате лучевого воздействия можно достичь длительной ремиссии и удлинить срок жизни больного даже на несколько лет.
Химиотерапия достаточного распространения при опухолях костей пока не получила.
Рассмотрим некоторые наиболее часто встречающиеся в клинической практике опухоли костей.
